позвоните нам

+86-(0)760-8789 3825
Ассоциация БАОТ КОЛ
Михаил Сельдков Sep 01, 2022

Михаил Селдков из Литовской Республики .

  • Мастер более 25 лет
  • Основатель первой частной лаборатории в Беларуси.
  • Владелец цифровой лаборатории «IQ ProLab» в Литве

Он отличный зубной техник и отличный репетитор, который дает замечательные уроки для начинающих в BAOT.

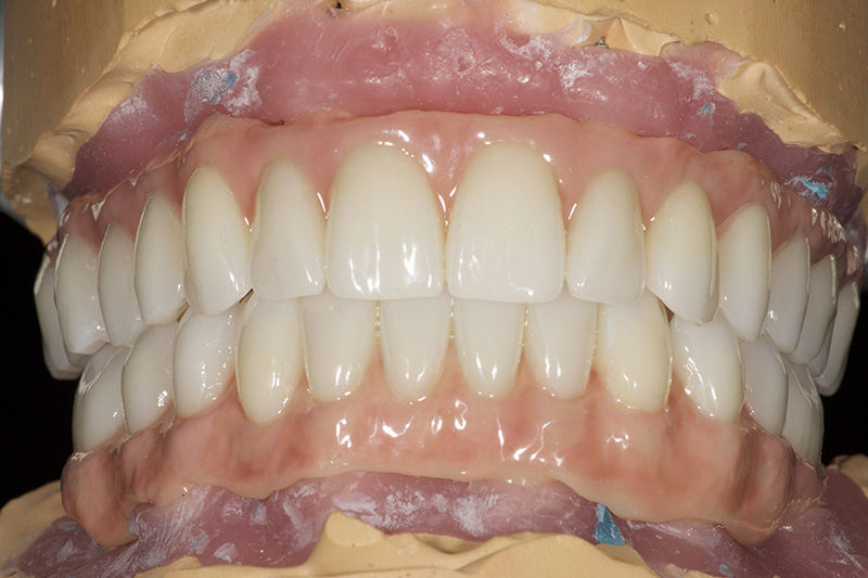
Оценка произведений Михаила Сельдкова

Материал стоматологической лаборатории Фарфоровый порошок

Материал для стоматологической лаборатории Фарфоровый порошок PFZ

стоматологический из биоматериала из керамики из фарфора

стоматологический керамический порошок для зуботехнической лаборатории

оставить сообщение

оставить сообщение
если у вас есть вопросы или предложения,пожалуйста, оставьте нам сообщение,мы ответим вам, как только сможем!

главная

товары

whatsapp